Экспериментальная гибридная терапия продемонстрировала высокий потенциал в лечении диабета 1 типа у мышей. Специально разработанный метод лечения показал стопроцентную эффективность в предотвращении развития болезни у животных в преддиабетическом состоянии и смог обратить вспять состояние у мышей с полностью развившимся заболеванием.
Уникальность нового подхода заключается в успешном объединении клеток иммунной системы мыши-реципиента и мыши-донора, что позволило им сосуществовать в гармонии без необходимости применения иммунодепрессантов на протяжении как минимум четырёх месяцев.
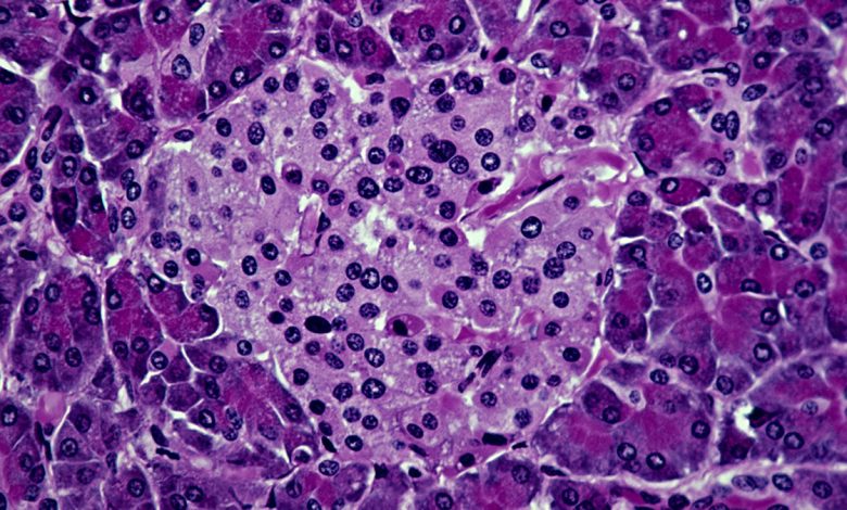
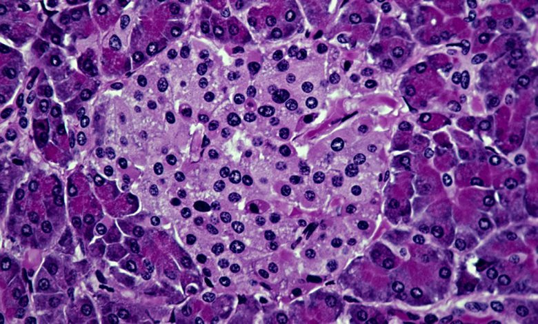
Исследователи из Медицинской школы Стэнфорда, стоящие за этой работой, полагают, что такой же подход может оказаться успешным и для людей. Болезнь возникает из-за сбоя в работе собственной иммунной системы организма, которая атакует производящие инсулин бета-клетки островков поджелудочной железы. В ходе эксперимента иммунную систему мышей перед трансплантацией подготовили с помощью ингибитора иммунитета, низкой дозы радиации и специально подобранных антител. Затем животным пересадили комбинацию кроветворных стволовых клеток и островковых клеток от другого животного.
В результате пересаженные клетки не были атакованы как чужеродные агенты, а иммунная система снова начала функционировать нормально. Учёные подчёркивают, что необходимо не только заместить утраченные островковые клетки, но и перезагрузить иммунную систему реципиента, чтобы остановить их дальнейшее уничтожение. Создание гибридной иммунной системы позволяет достичь обеих целей. Кроме того, ни у одной из мышей не развилась реакция "трансплантат против хозяина" — частое осложнение при пересадке клеток между людьми.
Несмотря на обнадёживающие результаты, остаются проблемы. Например, островковые клетки можно получить только посмертно, и они должны происходить от того же донора, что и кроветворные стволовые клетки. Исследователи ищут способы повысить выживаемость донорских клеток или научиться производить их в лаборатории из плюрипотентных стволовых клеток человека. Учёные отмечают, что ключевые этапы исследования, ведущие к созданию гибридной иммунной системы, уже используются в клинической практике для лечения других состояний, что повышает шансы на успешное применение метода у людей.

